入れ歯やブリッジで、
支える歯がダメになったケース
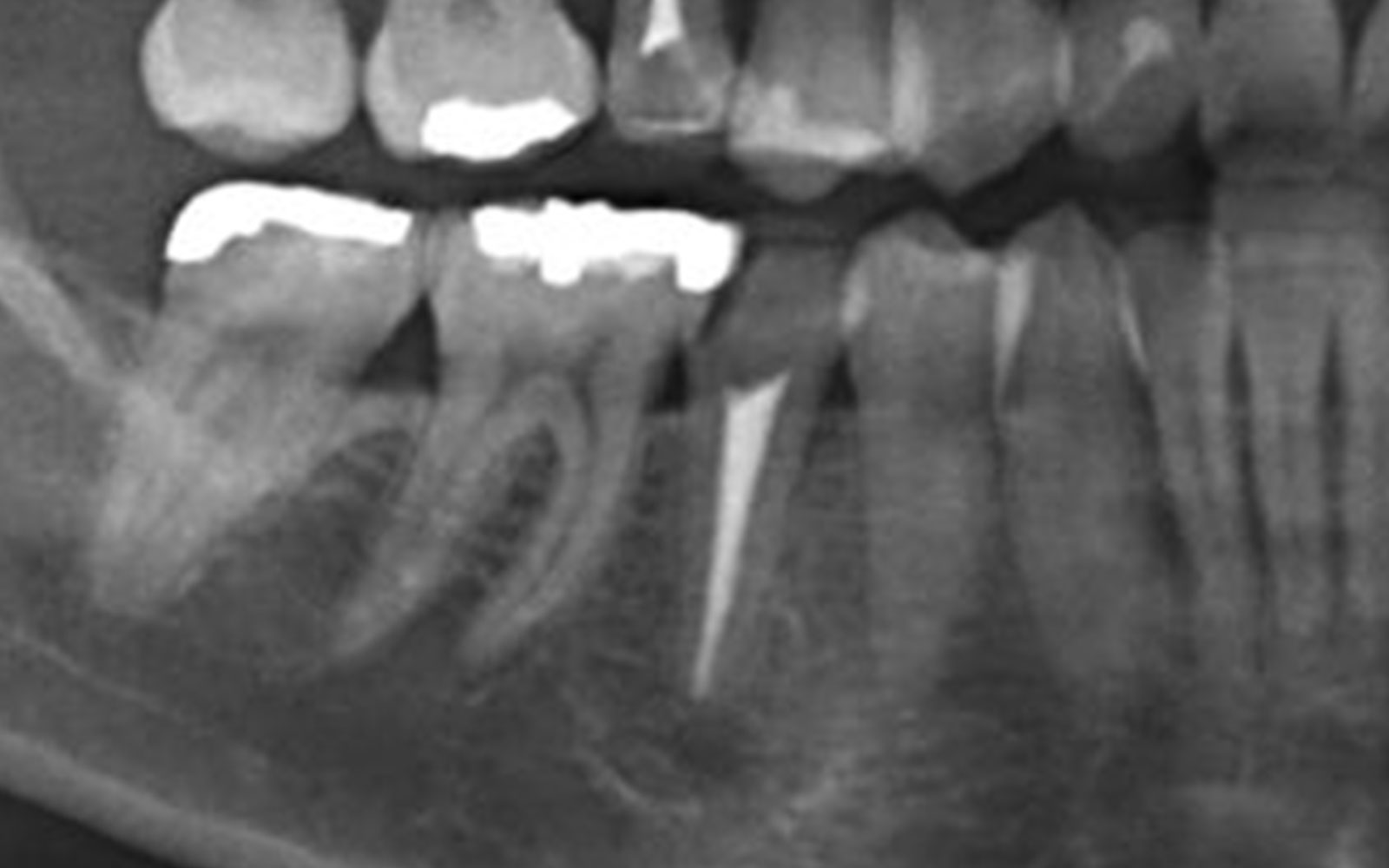
        症例1:
入れ歯やブリッジで、支える歯がダメになってしまったケース
                     初診時
レントゲン上で左下5番の歯根破折が見られます。ここまで垂直に割れていると抜歯するしかありません。原因は2本の土台で4本のブリッジだったので負担がかかったためだと思われます。
治療前
 
				治療後
 
				| 治療内容 | インプラント | 
|---|---|
| 年齢 | 50歳 女性 | 
| 主訴 | 左下の歯が痛くて噛めない | 
| 治療費 | インプラント1本埋入の場合:385,000円(税込) | 
| 治療の リスク | 治療後の口腔管理が不適切な場合、埋入したインプラント周囲に感染・炎症を起こし、脱落する可能性がございます。 | 
症例2:
入れ歯やブリッジで、支える歯がダメになってしまったケース
                    初診時
この方も左下4番の歯根破折です。7番目の歯は歯周病でグラグラな状態なのでインプラント2本埋入してます。
治療前
 
				治療後
 
                    埋入後すぐに仮歯を入れたので術後当日より物が咬めるようになりました。
| 治療内容 | インプラント | 
|---|---|
| 年齢 | 70歳 男性 | 
| 主訴 | 歯茎が腫れた | 
| 治療費 | インプラント1本埋入の場合:385,000円(税込) | 
| 治療の リスク | 治療後の口腔管理が不適切な場合、埋入したインプラント周囲に感染・炎症を起こし、脱落する可能性がございます。 | 
1歯欠損のケース
症例1:
1歯欠損の場合(前歯、奥歯)
                    初診時
この方も左下4番の歯根破折です。7番目の歯は歯周病でグラグラな状態なのでインプラント2本埋入してます。
治療前
 
                    レントゲン上でみてもそこまで悪い感じはないですが、 垂直的にヒビが入ってました。こうなると歯を残すことができません。抜歯してインプラントかブリッジが適用になります。
以前に他院で診てもらった時も抜歯の診断を受けたがインプラントは下顎管(神経)に近いためできないと断られたそうです。
CTを撮り診断してみると舌側の骨が吸収して欠損、骨の一番低い場所から下顎管まで11mmでした。費用的にも時間的にも制限があったため抜歯即時で8mmのショートインプラントを埋入しました。
治療後
 
                    短いインプラントでも埋入する方向や位置などが良ければ問題ありません。審美性の確保のため(歯間乳頭)抜歯即時で埋入し、歯肉移植もしています。
 
                 今回は審美性に問題がなく、今後の骨吸収、歯肉退縮も心配ないです。患者さまにも満足していただきました。
| 治療内容 | インプラント | 
|---|---|
| 年齢 | 30歳 女性 | 
| 主訴 | 歯茎が腫れた | 
| 治療期間 | 4ヶ月 | 
| 治療費 | インプラント1本埋入の場合:385,000円(税込) | 
| 治療の リスク | 治療後の口腔管理が不適切な場合、埋入したインプラント周囲に感染・炎症を起こし、脱落する可能性がございます。 | 
症例2:
1歯欠損の場合(奥歯)
                    
             治療前
 
				治療後
 
				| 治療内容 | インプラント | 
|---|---|
| 主訴 | 歯の欠損 | 
| 治療費 | インプラント1本埋入の場合:385,000円(税込) | 
| 治療の リスク | 治療後の口腔管理が不適切な場合、埋入したインプラント周囲に感染・炎症を起こし、脱落する可能性がございます。 | 
症例3:
1歯欠損の場合(奥歯)
                    
             治療前
 
				治療後
 
				| 治療内容 | インプラント | 
|---|---|
| 主訴 | 歯の動揺、歯茎の腫れ | 
| 治療費 | インプラント1本埋入の場合:385,000円(税込) | 
| 治療の リスク | 治療後の口腔管理が不適切な場合、埋入したインプラント周囲に感染・炎症を起こし、脱落する可能性がございます。 | 
複数歯欠損のケース
症例1:
複数歯欠損 (ブリッジの中間歯の破折)  
                     治療前
 
                    ブリッジの中間歯の破折で来院されました。ブリッジでもよかったのですが奥歯の虫歯が大きく抜歯せざるおえません
でした。
患者さまと相談してインプラントを埋入して奥歯の負担を減らすことにしました。
治療後
 
                    インプラントを2本埋入しました。
オッセオインテグレーション(骨結合)の期間、4~6ヶ月待ちます。
結合後に型をとり上部構造(歯)を作製します。奥歯は見えない箇所だったのでゴールドの被せ物で修復してます。
治療後
 
				| 治療内容 | インプラント | 
|---|---|
| 主訴 | 複数の歯が破折 | 
| 治療費 | インプラント1本埋入の場合:385,000円(税込) | 
| 治療の リスク | 治療後の口腔管理が不適切な場合、埋入したインプラント周囲に感染・炎症を起こし、脱落する可能性がございます。 | 
上顎骨の骨量不足をサイナスリフトで補ったケース
症例1:
サイナスリフト併用インプラント症例
                     治療前
 
				治療後
 
				| 治療内容 | インプラント、サイナスリフト | 
|---|---|
| 主訴 | 歯の欠損、歯の動揺、歯茎の腫れ | 
| 治療費 | インプラント1本埋入の場合:385,000円(税込) | 
| 治療の リスク | 治療後の口腔管理が不適切な場合、埋入したインプラント周囲に感染・炎症を起こし、脱落する可能性がございます。 | 

 
				 
         電話をかける
            電話をかける
                 24時間オンライン予約
24時間オンライン予約